
В Подмосковье врачи Детского научно-клинического центра имени Л.М. Рошаля успешно удалили из желудка 13-летней школьницы острую стоматологическую скобу. Девочка случайно проглотила металлический элемент, и своевременное обращение за медицинской помощью позволило быстро провести диагностику и безопасно устранить опасность. Об инциденте сообщили 25 ноября в Министерстве здравоохранения Московской области, подчеркнув, что помощь была оказана незамедлительно и в полном объеме.
Подростка оперативно доставили в приемное отделение, где специалисты провели осмотр и выполнили обзорную рентгенографию. После подтверждения наличия инородного предмета пациентку перевели в хирургическое отделение для эндоскопического удаления. Команда центра заранее подготовила необходимое оборудование и защитные приспособления, чтобы свести к минимуму риск повреждения слизистой оболочки.
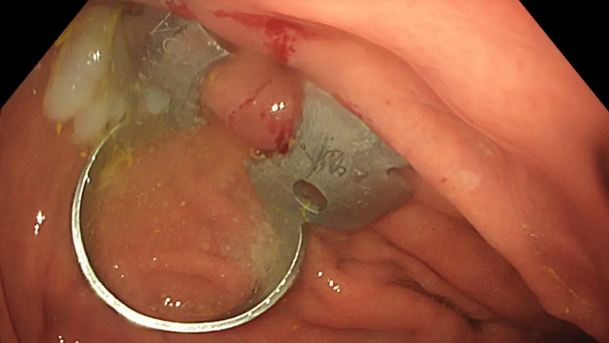
Врачам удалось визуализировать скобу и зафиксировать ее эндоскопической петлей. Из-за остроты и малых размеров предмета была необходима особая аккуратность: инструмент поэтапно провели через пищевод, устье пищевода и гортаноглотку, тщательно контролируя каждое движение. Подросток находилась под постоянным наблюдением специалистов, все этапы манипуляции велись по строгим клиническим протоколам.
Вся процедура заняла около десяти минут и завершилась благополучно. При контрольном эндоскопическом осмотре врачи не выявили повреждений слизистой, кровотечения и других осложнений. Состояние девочки оценили как удовлетворительное, и уже на следующий день после поступления она была выписана домой с рекомендациями по наблюдению и щадящему режиму питания на короткий период.
Операция прошла быстро и без осложнений
Специалисты центра отмечают, что в подобных ситуациях ключевую роль играет точная диагностика и слаженная работа мультидисциплинарной команды. В случае со стоматологической скобой особенно важен поэтапный и щадящий вывод предмета, поскольку острые края могут повредить стенки органов желудочно-кишечного тракта. Успех вмешательства обеспечили современное эндоскопическое оборудование, опыт эндоскопистов и хирургов, а также четкая координация действий всей бригады.
Министерство здравоохранения Московской области подчеркивает, что региональные клиники располагают необходимыми ресурсами для оказания высокотехнологичной помощи детям. В центрах внедряются актуальные методики малоинвазивной хирургии, обновляется парк эндоскопического оборудования, регулярно проводятся учебные тренинги. Это позволяет выполнять даже сложные манипуляции быстро, безопасно и с минимальным стрессом для маленьких пациентов и их семей.
Отдельно специалисты обращают внимание на важность своевременного обращения за медицинской помощью при подозрении на проглатывание инородного предмета. Чем быстрее пациент попадает к врачу, тем выше вероятность благоприятного исхода и тем меньше риск осложнений. В ожидании осмотра не рекомендуется пытаться самостоятельно извлечь предмет, вызывать рвоту, давать грубую пищу или активные сорбенты: такие действия могут сместить или дополнительно травмировать инородное тело.
После выписки пациентке назначили краткосрочное наблюдение, мягкий рацион и плановый контрольный визит. По словам медиков, такие меры носят профилактический характер и помогают убедиться, что восстановление проходит нормально. Родители получили подробные рекомендации по наблюдению за самочувствием ребенка дома и контактные данные для оперативной связи при возникновении вопросов.
Рекомендации родителям и подросткам
Медики напоминают: при использовании ортодонтических конструкций важно следовать указаниям стоматолога, регулярно проверять фиксацию элементов и при малейшем дискомфорте обращаться к специалисту. Подросткам рекомендуют быть особенно внимательными во время приема пищи и спортивных занятий, а также избегать привычек, связанных с удержанием мелких предметов во рту. Родителям стоит хранить мелкие детали и аксессуары вне зоны доступа детей и обсуждать с ними основы безопасного поведения.
Ситуации с инородными предметами в практике детских врачей встречаются часто, однако большинство из них успешно решаются при грамотной и быстрой медицинской помощи. Этому способствует развитие эндоскопических технологий, позволяющих в считанные минуты извлечь опасные объекты без открытых разрезов и длительной реабилитации. В данном случае слаженность действий и профессионализм специалистов обеспечили максимально щадящий подход и скорое возвращение школьницы к обычному образу жизни.
Подобные истории подчеркивают готовность медицинских организаций к нештатным ситуациям. Ранее врачи столицы также сообщали о случаях извлечения необычных предметов из организма пациентов, в числе которых — арбалетная стрела, застрявшая в области черепа, и игрушечный мяч, обнаруженный в прямой кишке. Несмотря на экстраординарность таких эпизодов, современные методы диагностики и лечения позволяют избегать тяжелых последствий, а пациенты быстро восстанавливаются.
Работа подмосковных специалистов — яркий пример того, насколько важны внимательность к деталям, технологическая оснащенность и человечное отношение к пациенту. В Детском научно-клиническом центре имени Л.М. Рошаля придерживаются принципа «минимум травмы — максимум результата», что особенно значимо для детской практики. История со скобой завершилась благополучно, а значит — еще одна семья получила повод вздохнуть спокойно и провести день без тревог.
Если у ребенка возникло подозрение на проглатывание инородного предмета, главное — не паниковать и сразу обращаться за медицинской помощью. Четкое следование рекомендациям специалистов и оперативность обращения помогают сохранить здоровье и избежать осложнений. Медики убеждены: внимательность родителей и грамотные действия в первые минуты — лучшая профилактика неприятностей, а грамотная работа врачей делает остальное.
Источник: vm.ru






